Multi-Atlas based Segmentation of Head and Neck CT Images using Active Contour Framework
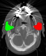
This paper presents the segmentation of bilateral parotid glands in the Head and Neck (H&N) CT images using an active contour based atlas registration. We compare segmentation results from three atlas selection strategies: (i) selection of “single-most-similar” atlas for each image to be segmented, (ii) fusion of segmentation results from multiple atlases using STAPLE, and (iii) fusion of segmentation results using majority voting. Among these three approaches, fusion using majority voting provided the best results. Finally, we present a detailed evaluation on a dataset of eight images (provided as a part of H&N auto segmentation challenge conducted in conjunction with MICCAI-2010 conference) using majority voting strategy.
Gorthi_MICCAI_2010_Workshop.pdf
Postprint
Accepted version
openaccess
455.72 KB
Adobe PDF
192cc4587ac353917adae7fbe9bc475a
Parotids_1.jpg
openaccess
5.91 KB
JPEG
b5eba071371bfb364efb09ea9748548f